Implanty zębowe w Lublinie to rozwiązanie, które zyskuje coraz większą popularność wśród osób borykających się z problemem utraty zębów. Jedną z głównych zalet implantów jest ich trwałość. W przeciwieństwie do tradycyjnych protez, które mogą wymagać częstej wymiany lub regulacji, implanty są zaprojektowane tak, aby służyły przez wiele lat, a nawet całe życie, jeśli są odpowiednio pielęgnowane. Kolejną istotną korzyścią jest ich estetyka. Implanty wyglądają i funkcjonują jak naturalne zęby, co pozwala pacjentom na odzyskanie pewności siebie i komfortu podczas jedzenia oraz mówienia. Dodatkowo, implanty wspierają zdrowie kości szczęki, zapobiegając ich zanikowi, co często ma miejsce po utracie zębów. Warto również zauważyć, że zabieg wszczepienia implantu jest stosunkowo mało inwazyjny i przeprowadzany w znieczuleniu miejscowym, co minimalizuje dyskomfort pacjenta.
Jak wygląda proces zakupu implantów zębowych w Lublinie
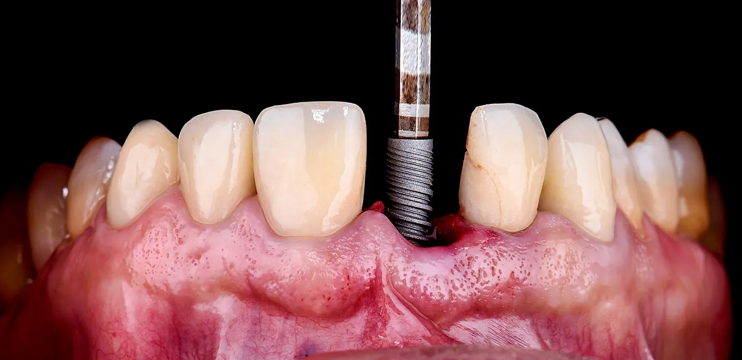
Proces zakupu implantów zębowych w Lublinie rozpoczyna się od wizyty u stomatologa, który przeprowadza szczegółową diagnostykę stanu jamy ustnej pacjenta. Lekarz ocenia nie tylko stan zębów, ale także zdrowie kości szczęki oraz ogólny stan zdrowia pacjenta. Na podstawie tych informacji lekarz podejmuje decyzję o możliwości wszczepienia implantu oraz dobiera odpowiedni typ implantu do indywidualnych potrzeb pacjenta. Po podjęciu decyzji o leczeniu następuje etap planowania zabiegu. W tym czasie pacjent może otrzymać dokładne informacje na temat przebiegu zabiegu oraz czasu rekonwalescencji. Sam zabieg wszczepienia implantu zazwyczaj trwa od jednej do kilku godzin i odbywa się w warunkach ambulatoryjnych. Po jego zakończeniu pacjent otrzymuje zalecenia dotyczące pielęgnacji miejsca wszczepienia oraz diety na najbliższe dni. Następnie następuje okres gojenia, który może trwać od kilku tygodni do kilku miesięcy, w zależności od indywidualnych predyspozycji organizmu.
Jakie są koszty związane z implantami zębowymi w Lublinie

Koszty związane z implantami zębowymi w Lublinie mogą się znacznie różnić w zależności od wielu czynników. Przede wszystkim cena implantu zależy od rodzaju użytych materiałów oraz technologii stosowanej podczas zabiegu. W Lublinie ceny implantów mogą zaczynać się od kilku tysięcy złotych za jeden implant, a kończyć na znacznie wyższych kwotach w przypadku bardziej skomplikowanych procedur lub użycia zaawansowanych rozwiązań technologicznych. Dodatkowo warto pamiętać o kosztach związanych z konsultacjami przed zabiegiem oraz ewentualnymi dodatkowymi procedurami, takimi jak przeszczep kości czy sinus lifting, które mogą być konieczne w przypadku niewystarczającej ilości tkanki kostnej do wszczepienia implantu. Niektóre kliniki oferują możliwość rozłożenia płatności na raty lub współpracują z instytucjami finansowymi, co może ułatwić dostęp do tego typu leczenia dla szerszego grona pacjentów.
Jak dbać o implanty zębowe po ich wszczepieniu
Prawidłowa pielęgnacja implantów zębowych po ich wszczepieniu jest kluczowa dla zapewnienia ich długotrwałego funkcjonowania oraz zdrowia jamy ustnej. Po zakończeniu procesu gojenia ważne jest, aby kontynuować regularne wizyty kontrolne u stomatologa, który będzie monitorował stan implantu oraz otaczających go tkanek. Codzienna higiena jamy ustnej powinna obejmować dokładne szczotkowanie zębów co najmniej dwa razy dziennie oraz używanie nici dentystycznej lub specjalnych szczoteczek międzyzębowych do czyszczenia przestrzeni wokół implantu. Należy unikać twardych pokarmów oraz nadmiernego obciążania implantu podczas jedzenia przez pierwsze tygodnie po zabiegu, aby dać czas na pełne zagojenie się tkanek. Ważne jest również unikanie palenia tytoniu i nadmiernego spożycia alkoholu, ponieważ mogą one negatywnie wpływać na proces gojenia oraz zdrowie dziąseł.
Jakie są najczęstsze pytania dotyczące implantów zębowych w Lublinie
Wiele osób, które rozważają wszczepienie implantów zębowych w Lublinie, ma liczne pytania dotyczące tego zabiegu. Jednym z najczęściej zadawanych pytań jest to, czy zabieg jest bolesny. Warto zaznaczyć, że podczas wszczepienia implantu stosuje się znieczulenie miejscowe, co sprawia, że pacjent nie odczuwa bólu w trakcie zabiegu. Po jego zakończeniu mogą wystąpić pewne dolegliwości, jednak można je skutecznie kontrolować za pomocą leków przeciwbólowych. Innym istotnym pytaniem jest czas gojenia po zabiegu. Czas ten może się różnić w zależności od indywidualnych predyspozycji pacjenta oraz skomplikowania zabiegu, ale zazwyczaj trwa od kilku tygodni do kilku miesięcy. Pacjenci często zastanawiają się również nad tym, jak długo implanty mogą służyć. Przy odpowiedniej pielęgnacji i regularnych wizytach u stomatologa, implanty mogą utrzymać się przez wiele lat, a nawet całe życie. Warto także zapytać o możliwe powikłania związane z zabiegiem. Choć są one rzadkie, mogą wystąpić infekcje lub problemy z integracją implantu z kością.
Jakie są różnice między implantami a protezami zębowymi w Lublinie
Wybór między implantami a protezami zębowymi w Lublinie to decyzja, która wymaga przemyślenia wielu aspektów. Implanty zębowe są trwale wszczepiane w kość szczęki i działają jak naturalne korzenie zębów, co zapewnia stabilność oraz komfort użytkowania. Z kolei protezy są ruchomymi uzupełnieniami, które można łatwo wyjmować i zakładać. Choć protezy mogą być tańszą opcją na początku, ich użytkowanie wiąże się z koniecznością częstych wizyt kontrolnych oraz ewentualnymi regulacjami, co może generować dodatkowe koszty w dłuższej perspektywie czasowej. Implanty wymagają jednorazowego zabiegu chirurgicznego oraz późniejszej opieki stomatologicznej, ale ich trwałość i estetyka sprawiają, że są coraz częściej wybieranym rozwiązaniem. Dodatkowo implanty pomagają zapobiegać zanikanju kości szczęki, co jest częstym problemem przy długotrwałym noszeniu protez. Warto również zauważyć, że implanty oferują lepszą funkcjonalność podczas jedzenia i mówienia, co znacząco wpływa na jakość życia pacjentów.
Jak znaleźć najlepszego specjalistę do wszczepienia implantów w Lublinie
Wybór odpowiedniego specjalisty do wszczepienia implantów zębowych w Lublinie jest kluczowy dla sukcesu całego zabiegu oraz późniejszego komfortu pacjenta. Pierwszym krokiem powinno być zebranie informacji na temat różnych klinik stomatologicznych oraz ich specjalizacji w zakresie implantologii. Warto zwrócić uwagę na doświadczenie lekarzy oraz opinie innych pacjentów. Można to zrobić poprzez przeszukiwanie internetowych forów dyskusyjnych lub portali społecznościowych, gdzie pacjenci dzielą się swoimi doświadczeniami oraz rekomendacjami. Kolejnym krokiem jest umówienie się na konsultację w wybranej klinice, podczas której można ocenić podejście lekarza do pacjenta oraz jego kompetencje. Dobrze jest również zapytać o posiadane certyfikaty oraz uczestnictwo w kursach doszkalających związanych z implantologią. Ważnym aspektem jest także wyposażenie kliniki w nowoczesny sprzęt oraz technologie stosowane podczas zabiegów.
Jak wygląda rehabilitacja po wszczepieniu implantów zębowych w Lublinie
Rehabilitacja po wszczepieniu implantów zębowych w Lublinie jest kluczowym etapem procesu leczenia i ma na celu zapewnienie prawidłowego gojenia tkanek oraz integracji implantu z kością szczęki. Po zabiegu pacjent otrzymuje szczegółowe zalecenia dotyczące pielęgnacji miejsca wszczepienia oraz diety na najbliższe dni. Ważne jest unikanie twardych pokarmów oraz nadmiernego obciążania implantu przez pierwsze tygodnie po zabiegu. W tym czasie zaleca się stosowanie chłodnych okładów na twarz w celu zmniejszenia obrzęku oraz bólu. Regularne wizyty kontrolne u stomatologa są niezbędne do monitorowania postępu gojenia oraz oceny stanu implantu i otaczających tkanek. W przypadku wystąpienia jakichkolwiek niepokojących objawów, takich jak ból czy krwawienie, należy niezwłocznie skontaktować się ze specjalistą. Po zakończeniu okresu gojenia można przystąpić do wykonania korony protetycznej na implancie.
Jak przygotować się do zabiegu wszczepienia implantów w Lublinie
Przygotowanie do zabiegu wszczepienia implantów zębowych w Lublinie jest kluczowym elementem zapewniającym jego sukces i minimalizującym ryzyko powikłań. Na początku warto umówić się na konsultację ze specjalistą, który przeprowadzi szczegółową diagnostykę stanu jamy ustnej oraz oceni ogólny stan zdrowia pacjenta. Lekarz może zalecić wykonanie zdjęcia rentgenowskiego lub tomografii komputerowej celem dokładnej analizy warunków anatomicznych przed przystąpieniem do zabiegu. Przed samym zabiegiem ważne jest także dostarczenie lekarzowi informacji o przyjmowanych lekach oraz chorobach przewlekłych, które mogą wpłynąć na proces gojenia lub przebieg operacji. Należy również unikać palenia tytoniu i spożywania alkoholu na kilka dni przed planowanym terminem zabiegu, ponieważ może to negatywnie wpłynąć na proces gojenia tkanek.
Jak długo trwa proces gojenia po wszczepieniu implantów w Lublinie
Czas gojenia po wszczepieniu implantów zębowych w Lublinie może być różny dla każdego pacjenta i zależy od wielu czynników, takich jak ogólny stan zdrowia pacjenta czy jakość tkanki kostnej w miejscu wszczepienia implantu. Zazwyczaj proces ten trwa od kilku tygodni do kilku miesięcy. Bezpośrednio po zabiegu następuje okres intensywnego gojenia tkanek miękkich wokół implantu, który trwa zwykle od 7 do 14 dni. W tym czasie pacjent może odczuwać pewien dyskomfort lub ból, który można złagodzić za pomocą leków przeciwbólowych zaleconych przez lekarza. Po tym etapie następuje proces integracji implantu z kością szczęki, który może trwać od 3 do 6 miesięcy lub dłużej w przypadku bardziej skomplikowanych przypadków lub niewystarczającej jakości tkanki kostnej.





